jfp

Journal of Forensic Pathology

ISSN - 2684-1312

Research Article - (2025) Volume 10, Issue 1

Role of the Radiologic Technologist in Virtual Autopsy in Italy. The Necessity of Specific Training to Support the Radiologist and Forensic Physician

Matteo Fantin*
 
*Correspondence: Matteo Fantin, Department of Radiology, University of Pisa, Pisa, Italy, Email:

Author info »

Abstract

The present document aims to provide guidance and consultation for medical Radiologic Technicians (RT) during the execution of instrumental imaging investigations post-mortem for forensic purposes. The increase in the incidence of autopsies for diagnostic purposes, violent deaths, sudden deaths and deaths in the workplace is highlighting the indispensability of such practice. The lack of a sufficient number of forensic radiologists has led to a growing need for trained radiologic technicians to assist the forensic pathologist promptly and accurately. Based on accumulated experience, acquisition and reconstruction protocols for PMCT (Post-Mortem Computed Tomography) investigations are developed as aids to the forensic pathologist for diagnosing the cause of death and for subsequent autopsy procedures.

Keywords

Post-mortem CT • Forensic radiology • Virtual autopsy

Introduction

Just a few months after Roentgen's discovery of X-rays, the first forensic radiographs were performed to detect bullets inside human bodies and consequently assist in the resolution of criminal cases. The first post-mortem radiological examination dates back to 1896. It can already be asserted, therefore, that the benefits of forensic radiology are recognized and established. While diagnostic radiology focuses on pathological findings and diseases, forensic radiology focuses on determining the cause of death and the type and intensity of injuries. For example, Post-Mortem Imaging (PMI) can be used to detect the action of external forces impacting the body, as well as the dynamics of action of various objects that have caused fatal injuries. Additionally, through forensic imaging, body identification procedures can be performed based on the comparison of any pre-mortem radiological examinations of the subject. Contrary to common belief, the level of accuracy in postmortem forensic radiology is extremely high. In some cases, the description of the skin and subcutaneous tissue is required, which is not necessary for diagnostic radiological examinations, especially in emergency situations [1].

Regardless of the cause of death, all forensic imaging information can help reconstruct or investigate a crime, influencing judicial thinking and judgments. In addition to studying causes of death due to criminal activity, forensic radiology can also respond to broader medicolegal implications such as determining chronological age in immigrant flows, international drug trafficking, indirect causes of traffic accidents and specific cases of suffocation or strangulation, sudden adult death and Sudden Infant Death Syndrome (SIDS).

The imaging techniques used in forensic contexts are diverse and not independent of each other. Each technique can provide different information, piecing together the possible causes of death. An equally fundamental role is played by the Picture Archiving and Communication System (PACS), which allows for the permanent storage of information acquired through PMI in the same way as diagnostic radiological techniques. Furthermore, the saved data can be reprocessed and reevaluated even after a long time, making a second objective forensic analysis possible.

As of today, our experience focuses on PMCT (Post-Mortem Computed Tomography).

Materials and Methods

According to data from Istat in 2021 published in February 2022, nearly 7 million Italian women between the ages of 16 and 70 have experienced physical or sexual violence during their lifetime, with 900,000 victims of workplace blackmail. 14.3% of women have experienced at least one physical violence within intimate partner relationships, particularly in urban areas. Over half of the cases involve women aged between 26 and 45, often with children, with a specific peak between 36 and 40 years old.

A document from the Institute for prevention and safety at work (Ispesl) published in December 2008 provides data, reflections and practical guidance for general practitioners, emergency department staff, socio-health districts personnel, state police, Carabinieri and the judiciary. Psychological violence has affected more than 7 million Italian women, with 46.7% experiencing isolation or attempted isolation, 40.7% control, 30.7% economic violence, 23.8% devaluation and 7.8%intimidation [2].

During the world safety conference 2010 held in London from September 21 to 24, 2010, the WHO Europe presented the report "European report on preventing violence and knife crime among young people." According to the document, 40 young people die from violence every day in Europe, with 15,000 homicides per year, representing the third leading cause of death among individuals aged 10 to 29. Low and middle-income countries have the highest homicide rates (9 out of 10), while within the same country, the poorest classes have the highest risk of youth stabbings. Prevention of these acts of violence is the responsibility of both the judicial and healthcare systems of a country.

The 2009 report on accidents in Europe stated that someone dies every two seconds due to an accident. Accidents are one of the most serious public health problems for EU citizens and kill over 250,000 people annually, causing about 42 million injuries, often resulting in permanent disabilities. The first step towards prevention is the development of an efficient data collection system upon which member states' governments can organize their interventions.

Injuries and violence cause 800,000 deaths annually in the WHO Europe countries, more than half of which are preventable. Vichi et al. summarized, through careful meta-analysis of data published by the National Institute of Statistics (ISTAT) and elaborated by the ministry of health, the causes of death divided by the International Classification of Diseases (ICD). "Homicides" are coded under "external causes," which are further divided into 5 categories:

• Physical force, strangulation, abuse
• Firearms
• Sharp or blunt objects (e.g., knives, hammer)
• Other
• Unknown or delayed effects

Homicides in Italy over the last 34 years have shown an overall decrease in incidence rates, interpreted as an expression of a "civilizing" process. Increases in medical knowledge and surgical techniques have led to a decrease in the lethality of aggressive acts, thus reducing violent deaths also due to the dismantling of criminal organizations inherent in the Italian territory. However, there is an increasing incidence of "interpersonal" homicides in the total number of criminal events, including those committed among partners (e.g., femicides).

Regulatory context

Autopsy is the examination of a cadaver aimed at clarifying doubts regarding the death of a person or ascertaining relevant issues connected to it. It is referred to as a "post-mortem examination," but perhaps it would be more accurate to say that it is a "quoad mortem examination," as it occurs not only for obvious reasons after death but is specifically directed at investigating aspects related to the subject's death, particularly to delve into its causes, timing, means or pathologies that have determined it.

In legal and forensic terms, the autopsy activity actually encompasses two distinct figures that maintain their conceptual and practical autonomy, although they are sometimes confused and/or overlapped:

• Diagnostic confirmation (provided for by articles 37 et seq. of the mortuary police regulations approved with presidential decree 285/1990).
• Judicial autopsy (which is ordered by the public prosecutor and almost always takes the form of non-repeatable technical examinations under article 360 of the code of criminal procedure).

In this brief discussion, we will try to explain the assumptions and purposes of both these types of autopsy examination, clarifying in a simple and understandable way what an autopsy is, how it is performed, when, why and by whom.

We mentioned that the autopsy examination is an investigation on the cadaver carried out through operations that allow inspection of tissues and human organs. Autopsy literally means "seeing with one's own eyes" (from the Greek αá½Âτá½¹ς, autòs: "self"; and á½?ψις, òpsis: "sight"), but it is much more than a mere objective examination of the patient, who is now necessarily deceased. In fact, aside from the hypothesis of autopsies performed for purely educational purposes (regulated by articles 40-43 of the mortuary police regulations), the autopsy examination aims to ascertain the causes, timing and manner of death.

However, there are two contexts in which the autopsy becomes relevant: One is the ordinary context, so to speak, in which the examination is conducted for the purpose of diagnosis control or response to clinical-scientific questions (in this case, it is referred to as "diagnostic confirmation" or "anatomopathological autopsy"); the other is when the examination is conducted within a criminal proceeding because it is suspected that the death may be the result of a crime (this is the true "judicial autopsy").

Let's analyze both figures in a little more detail [3].

Diagnostic confirmation (or "anatomopathological autopsy")

The anatomopathological autopsy is regulated by the mortuary police regulations (D.P.R. 285/1990), which, in Article 37, states:

• Without prejudice to the powers of the judicial authority, bodies are subjected to diagnostic confirmation, according to the provisions of law No. 83 of February 15, 1961, of deceased persons without medical assistance, transported to a hospital or an observation or mortuary deposit, as well as the bodies of persons who died in hospitals, university clinics and private healthcare institutions when their respective directors, heads or attending physicians so decide for diagnosis control or clarification of clinical questions.
• The health coordinator may also order diagnostic confirmation on the bodies of persons who died at home when death is due to an infectious and widespread disease or suspected to be or at the request of the attending physician when there is doubt about the causes of death. a) The relatives or other entitled parties of the deceased may agree with the healthcare or socio-health director on the execution of diagnostic confirmation, both in the case of hospital death and elsewhere and may arrange for the presence of a trusted physician.
• Diagnostic confirmation is carried out, in the presence of the head or attending physician, where deemed necessary, in university clinics or hospitals by the university or hospital pathologist or by another competent healthcare professional assigned to the service, who must avoid mutilations and unnecessary dissections to reach the determination of the cause of death.
• After diagnostic confirmation, the body must be carefully reassembled.
• The expenses for diagnostic confirmation are borne by the entity that requested it. (Article 37 D.P.R. September 10, 1990, n. 285).

Therefore, from the letter of the law, it can be deduced that diagnostic confirmation is distinguished as obligatory or optional, in the sense that we will immediately clarify.

Mandatory diagnostic confirmation: must be carried out when it concerns the body of a person who died without medical assistance (to be understood as the attending physician's knowledge of the course of the illness, even if the physician was not present at the time of death) and transported to a hospital, observation deposit or mortuary.

Optional diagnostic confirmation: may be carried out when it concerns the body of:

• A person who died in a hospital and is ordered by the director, head or attending physician to control the diagnosis or clarify clinical-scientific questions.
• A person who died at home and is ordered by the healthcare director of the local health authority when death is due to an infectious and widespread disease or suspected to be or at the request of the attending physician when there is doubt about the causes of death.

In any case, diagnostic confirmation is predominantly aimed at determining the cause of death, whether it concerns persons who died without medical assistance, persons who died at home due to a widespread disease (confirmed or suspected) or persons who died at home with a doubtful cause of death. Moreover, diagnostic confirmation may also be directed to answering clinical-scientific questions (understood, of course, as relating to the specific case) [4].

It is worth noting that the Gelli law, by adding paragraph 2-bis to article 37 of the mortuary police regulations, introduced the possibility for the relatives of the deceased patient whether in a hospital or elsewhere to "agree" with the healthcare director on the execution of diagnostic confirmation and to have a trusted medical examiner participate in the procedures. The mortuary police regulations do not provide for the consent of the deceased's relatives or next of kin for the performance of diagnostic confirmation (and conversely, do not allow their opposition), unlike what happens, for example, in the US legal system. However, it should be noted the provision of law No. 31 of February 2, 2006, ("Discipline of diagnostic confirmation on victims of Sudden Infant Death Syndrome (SIDS) and unexpected fetal death"), which requires diagnostic confirmation with the consent of both parents in case of:

• Infants who died suddenly within one year of life without apparent cause.
• Fetuses who died after the twenty-fifth week of gestation, also without apparent cause.

In any case, when during the autopsy procedures, there is a suspicion that death may be due to a crime, the medical examiner must suspend the procedures and immediately notify the judicial authority (this is expressly established by article 39, paragraph 3 and article 45, paragraph 5, of the mortuary police regulations).

Judicial autopsy

The provisions of the mortuary police regulations just mentioned actually express a general principle, codified in article 365 of the criminal code, which provides for the so-called obligation of reporting. In fact, any healthcare professional who in the exercise of their healthcare profession finds themselves providing assistance or operating in cases that present the characteristics of a prosecutable offense must report it to the judicial authority.

A typical case of offense for which one must proceed ex officio is homicide (culpable or worse, intentional), which is clearly the type of offense most often involved in cases of suspicious death. Therefore, when there is suspicion that a person's death may constitute such a criminal hypothesis, any doctor is required to inform the judicial authority, specifically the public prosecutor at the competent court. The latter will order a judicial autopsy, presumably with the forms of non-repeatable technical examinations provided for in article 360 of the code of criminal procedure (since the corpse, on which the autopsy operations must be carried out, is subject to alteration and decomposition, with the risk of losing evidence). Alternatively, but more rarely, the public prosecutor may request to carry out the autopsy during a preliminary hearing (which is a sort of anticipation of the trial).

In any case, the judicial autopsy is performed by a doctor appointed by the public prosecutor from among those registered in the local register. Sectional operations may involve consultants appointed by the victims (the deceased's relatives) and any suspects, if identified.

For the execution of the autopsy, the only "official" reference that the medical examiner must adhere to is the old circular No. 1665 of June 30, 1910, from the minister of justice and worship, often simply referred to as the "Fani circular" (named after the minister who authored it: Mario Fani), to which are attached the "Instructions on the medical-legal technique of judicial autopsies". The indications of this century-old praxeological source, although perhaps in need of updating in light of the scientific progress made in forensic pathology in the meantime, are indeed still valid and provide precise rules for conducting autopsy operations [5].

In summary and referring to the circular for further details (e.g., on the necessary instrumentation, rules for possible exhumation of the corpse, as well as special precautions to follow in case of suspected poisoning, infanticide or abortion), the main phases of an autopsy are 3: External inspection, internal examination and expert report.

Normative and procedural sources on autopsy and diagnostic confirmation

• Law no. 31 of February 2, 2006 (Regulation on diagnostic confirmation for victims of Sudden Infant Death Syndrome (SIDS) and unexpected fetal death).
• Law no. 91 of April 1, 1999 (Provisions on organ and tissue harvesting and transplantation).
• Presidential Decree No. 285 of September 10, 1990 ("Approval of mortuary police regulations");
• Law no. 644 of December 2, 1975 (Regulation of cadaver organ harvesting for therapeutic transplantation purposes and rules on pituitary harvesting from cadavers for the production of extracts for therapeutic use).
• Law no. 83 of February 15, 1961 (Rules for diagnostic confirmation on corpses).
• Royal Decree no. 1265 of July 27, 1934 (Approval of the consolidated text of health laws).
• Circular of the ministry of health no. 818 of January 11, 2021 (Emergency indications related to the SARS-CoV-2 epidemic concerning the funeral, cemetery and cremation sector Version January 11, 2021).
• Circular of the Ministry of Health No. 15280 of May 2, 2020 (Emergency indications related to the COVID-19 epidemic concerning the funeral, cemetery and cremation sector).
• Circular no. 1665 of June 30, 1910, from the Minister of Justice and Worship (Fani Circular).

Results and Discussion

Post-mortem computer tomography

Acquisition protocols: Within forensic investigation, the figure of the TSRM (Medical Radiology Technician) becomes a protagonist in the initial phase of body analysis, namely during PMCT (Post-Mortem Computed Tomography). Indeed, during this procedure, a good mastery of the technical parameters of CT (Computed Tomography) is fundamental to produce images that are as indicative as possible for the investigated aspect.

Currently, in the field of forensic radiology, reference is made to the guidelines produced by SIRM (Italian Society of Medical and Interventional Radiology), which suggest standard acquisition protocols for PMCT. Specifically, there are two suggested protocols, one for adults and one dedicated to victims still in childhood.

For both proposed protocols, the acquisition process remains almost identical (Table 1).

Acquisition parameters/reconstrucion adults

 

District

FoV

kV

mAs

Pitch

SL (mm)

L (mm)

Kernel

Step 1

Whole body

eFoV

120

≈400

0.35

2

1

Soft (B30)

Hard (B50)

Acquisition parameters/reconstrucion pediatrics

 

District

FoV

kV

mAs

Pitch

SL (mm)

L (mm)

Kernel

Step 1

Whole body

aFoV

120

≥ 250

0.5-0.8

≤ 0.75

0.4

Soft (H31)

Hard (H50)

Table 1. Acquisition parameters/reconstrucion adults and pediatrics.

The first step involves acquiring the entire body, including the upper limbs (to be positioned along the sides or crossed in front), trying to align the skull. Only in case of major trauma to the skull or upper limbs should their manipulation be minimized.

For the whole body step, the acquisition starts from the skull and ideally extends to the end of the lower limbs with a wide enough field of view to encompass it entirely [6].

In cases where mechanical limitations of the CT scanner or excessively large dimensions of the victim's body are present, the acquisition should extend to the mid-third of the thigh. Subsequently, the body is rotated by 180 degrees and a second scan is performed, this time from the toes to the mid-third of the thigh. The images must then be processed with soft tissue and bone filters to perform a VR (Volume Rendering) reconstruction of the entire skeleton (Table 2).

Acquisition parameters/reconstrucion adults
  District FoV kV mAs Pitch SL (mm) L (mm) Kernel
Step 2 Testa-Collo ≤ 300 mm 120 ≈80 0.35 0.6 0.4 Soft (H31)
Hard (H60)
Acquisition parameters/reconstrucion pediatrics
  District FoV kV mAs Pitch SL (mm) L (mm) Kernel
Step 2 Testa-Collo ≤ 300 mm 120 >250 0.35 0.6 0.4 Soft (H31)
Hard (H50)

Table 2. CT scan parameters for adult and pediatric head-neck imaging comparison.

The second step is head and neck exam with dedicated FOV (Table 3).

Acquisition parameters/reconstrucion adults
District FoV kV mAs Pitch SL (mm) L (mm) Kernel
Torace-Addome ≤ 500 mm 120 ≈400 0.35 1 0.6 Soft (B30)
Hard (H60)

Table 3. CT acquisition parameters for adult chest-abdomen: Technical overview.

The last step is usually performed only in PMCT scans of adult victims. In this case, an acquisition of the thoraco-abdominal region is performed, raising, if possible, the upper limbs above the shoulder girdles. Reconstructions for bone, lung and soft tissues are then carried out, in addition to VR reconstruction. Additional acquisitions or scans may be performed depending on the requirements of the case. The movement of the body may be limited by its state of decomposition or by extensive effects of carbonization, or even for bureaucratic and administrative reasons. In such cases, the study is limited to what was illustrated in the first two steps.

Operational reality: In our operational reality, PMCT scans are performed on a GE revolution EVO 64-slice CT scanner. The standard protocol is based on that proposed by the SIRM and is therefore structured in three main steps as follows (Table 4).

Acquisition parameters
  District FoV kV mAs Pitch Rotation time (s) Kernel
Step 1 Whole body Large body 120 Modulated range: 30-400 0.9 0.35 Soft (B30)
Hard (B50)
Hard (B70)
Step 2 Testa-Collo Head 120 Modulated range: 50-350 0.9 0.35 Soft (H31)
Hard (B60)
Hard (B70)
Step 3 Torace- Addome Large body 120 Modulated range: 30-400 0.9 0.35 Soft (B30)
Hard (B60)
Hard (B70)

Table 4. Standardized CT acquisition protocols for whole body, head-neck, and chest-abdomen.

All steps are carried out with helical acquisition. Additionally, particular attention is paid to any jewelry, which is removed only with authorization from the appointed forensic doctor. If their removal is not possible, images are reconstructed with a MAR filter.

In the last year, a variant to the protocol just presented has been introduced. Indeed, since there are no contraindications related to radiation protection, additional scans have been introduced in steps 2 and 3

Specifically, for the head-neck region, scans at 80 kV and 100 kV are performed in addition to what has already been presented. Regarding the thoraco-abdominal region, three additional acquisitions are made: At 80 kV, 100 kV and 140 kV. These are executed with particular attention to not modifying the upper and lower margins of the acquisition range. The unique conditions of the body under examination guarantee the absence of motion artifacts, allowing for precise overlap between the different scans.

In this way, it is possible to combine the raw data from the various acquisitions and obtain fused images at different energies, namely a fused PMCT. As suggested by Kobayashi et al., this technique allows for a significant increase in signal with consequent improvement in spatial resolution.

Post process

A virtopsy performed with CT technique allows obtaining a high level of information about the body under examination. For example, it is possible to visualize hemorrhages, fractures or various lacerations. It can therefore be employed: As a first triage of the body, pending the actual autopsy; to reconstruct events and partial dynamics of the causes of death or for the identification of corpses rendered unrecognizable after death [7].

For all these cases, the images in the transverse plane produced during data acquisition may be sufficient. However, often to clarify any doubts, it is necessary to create images that provide information on other planes, both in 2D and 3D. These are created by the figure of the TSRM in dedicated workstations with the consultation of the radiologist and the forensic doctor.

The most common reconstruction techniques are Multi Planar Reformation (MPR) for 2D visualization and Volume Rendering (VR) for 3D visualization.

Multiplanar reconstructions: MPR reconstructions are characterized by the fact that they can be performed on any desired anatomical plane: Transverse, coronal, sagittal or oblique. They are mostly Two-Dimensional (2D), which allows, unlike 3D images, to always show the real attenuation value of the body under examination in the CT. When the voxel is isotropic, it is possible to create reconstructions in any plane without losing image quality. If the voxel is not isotropic, image quality can be improved by increasing the overlap. These reconstructions are the most common and can be created either at the operator console or on separate and dedicated workstations. Other more complex variants can be created on Curved Planes (CPR) and allow the creation of images centered at the isocenter of tubular organs.

Manual and real-time MPR: MPRs can be manually reconstructed with the operator editing various criteria such as layer thickness and desired reconstruction plane. This reconstruction mode is distinguished because it allows manual modification of the image plane with dedicated axes. Additionally, it allows for corrections of positioning errors and obtaining the desired orientation in space.

Scanner-created MPR: Most CT scanners allow customization of protocols so that MPRs are generated automatically by the software. The advantages of MPRs created in t his way are the certainty that they are always reconstructed and time savings. In most CTs, this function is possible only for reconstructions in coronal and sagittal planes, while if oblique planes or curved images are required, they will need to be reprocessed by the TSRM.

Workstation-Created MPR: The PACS allows users to edit MPRs from any monitor with access to it. This ensures flexibility in creating images that can be retrieved and reconstructed even some time after acquisition if necessary. However, to create quality reconstructions, it is necessary to have access to the dataset with images acquired with the thinnest layer possible. This means that all acquired images must be sent to the PACS, which could slow down its use due to the amount of data usually produced.

Three-dimensional reconstructions: 3D reconstructions aim to show the entire volume under examination in a single image. Unlike 2D reconstructions, when producing 3D images, the original values acquired by the CT are manipulated or combined; therefore, values faithful to those of the original scan are not always obtained. As with 2D MPRs, the thinner the layer thickness of the CT acquisition, the better the quality of the reconstruction.

Additionally, in both cases, software allows the combination of different layer thicknesses within the same reconstruction. For this to be possible, all images must be contiguous, without changes in gantry tilt, bed height and DFOV.

There are 3D reconstruction techniques that differ based on the need to highlight specific characteristics on a case-by-case basis. For example, techniques like SR and Volume Rendering (VR) produce images that immediately appear three-dimensional. Other techniques, such as MIP or MinIP, use volume data but produce flat images that appear two-dimensional.

Surface Rendering (SR): Reconstructing with surface rendering technique is akin to taking a picture of the surface of the structure under examination using external voxels to show only the edge or outer shell. In most SR, images are created by comparing the intensity of each voxel in the dataset with some predetermined CT values. The software includes or excludes voxels based on whether their value is above or below the predetermined threshold and uses this information to create the object's surface. The remaining voxels then become invisible. SR is useful for examining tubular structures, such as the internal cavities of blood vessels, colon or respiratory tracts. Selecting threshold values appropriately is not simple. If the value window is too narrow, obstructing structures may appear imperceptible in the image. If the value window is too wide, non-solid structures (e.g., fluids) may also be displayed as if they were solid, thus obstructing the view of any obstructing structures. Manually adjusting default values can therefore drastically alter the final image. An advantage of SR is that, using only part of the acquired dataset, images can be created very quickly even on non-performing computers. SR images are still useful, for example, in surgical settings because they can be rotated and viewed from any angle.

Maximum and Minimum Intensity Projections (MIP, MinIP): MIP (Maximum Intensity Projections) and MinIP (Minimum Intensity Projections) are two visualization methods that use volume data to create 2D images. In MIP, voxels with the highest attenuation value in each slice of the selected volume are projected onto a 2D image, which means that MIP emphasizes high-density structures such as bone and metal. This method can be used to locate and determine foreign bodies, useful in forensic settings for identifying a corpse based on the presence of particular materials at the dental level. Conversely, in MinIP, voxels with the lowest attenuation value are emphasized, forming images that allow better visualization of lowdensity structures such as gases. This method is useful, for example, in visualizing gases produced during decomposition. Additionally, MinIP can be used for the evaluation of other structures with a large attenuation difference, such as in drowning cases where the bronchi are filled with fluids. MIP and MinIP can be generated from the entire dataset or from a selected portion of it. For example, a MIP of blood vessels may be obscured by other present structures occupying the area of interest. Creating MIP from only a portion of the dataset can be considered a sliding slab variation method. Editing the data can also minimize overlay effects by removing structures that have no clinical indication.

Volume rendering: VR is a semi-transparent 3D representation of the structures of an image that, like other 3D techniques, are constructed by manipulating dataset data. Each voxel is assigned an opacity based on its Hounsfield unit value. The opacity value will then determine, along with the values of the other voxels, the final image [8].

Unlike other 3D techniques, with VR, no information is ignored or eliminated; each voxel contributes to forming the final image. Pixels of a VR image can be differentiated based on color, brightness or opacity level. For example, external tissues can be characterized by high transparency, vessels with contrast with slight opacification and bones with significant opacity. By varying opacity, window and level, anatomy can be highlighted or made invisible. This allows the user to quickly classify structures based on their opacity. Another feature of a VR reconstruction is the ability to rotate and view images from any angle in space.

Endoluminal imaging: A variant of VR reconstructions is designed for endoluminal imaging, i.e., within the lumen of the structures under examination. This technique aims to simulate the view of an endoscope, with the difference that it allows visualization of regions that an endoscope cannot reach, such as bronchial branches, blood vessel lumens, the inner surface of the colon and the mucosa of the paranasal sinuses. Endoluminal imaging allows visualizing a structure as if the viewpoint were inside it. From here, the operator can scroll through the lumen depth under examination, simulating the path of an endoscope. Navigation requires pre-drawing a path through the lumen. To fulfill this function, there are software programs designed to automatically calculate the path along the central point of the lumen of the structure under examination. However, the operator can still modify the viewpoint by approaching or moving away from the wall of the lumen. The software can also recognize any findings and associate the viewpoint in the 3D image with the corresponding ones in the 2D images to allow proper examination and localization of any anomalies.

Reconstructions in a virtopsy–from theory to practice

In concrete cases from our direct experience, the reconstructions carried out start from a dataset of information obtained with a thin layer thickness of 0.625 mm on the GE revolution EVO CT scanner. Following the acquisition phase discussed previously, specific MPR reconstructions were performed for each acquisition package, detailed as follows:

Whole body district

• Axial 2D MPR total body with soft (B30) and hard (B50) reconstruction algorithms with layer thickness of 0.625 mm, 1.25 mm, 2.5 mm.
• Axial 2D MPR with layer thickness of 1.25 mm and lung kernel filter, only of the thoracic and abdominal districts, to visualize any free air.
• Coronary and sagittal 2D MPR of the thoracic and abdominal districts with hard (B50) reconstruction algorithm and layer thickness of 1.95 mm.
• 3D VR total body of the skeletal system and targeted images on the thoracic ribs.

Head-neck district:

• Axial 2D MPR with soft (B31) and hard (B60) reconstruction algorithms with layer thickness of 0.625 mm, 1.25 mm, 2.5 mm.
• Sagittal and coronal 2D MPR with hard (B60) filter and layer thickness of 2.125 mm and FOV dedicated to the study of the cervical spine.

Head district:

• Axial 2D MPR with soft (B31) and hard (B60) reconstruction algorithms with layer thickness of 0.625 mm, 1.25 mm, 2.5 mm.
• Axial 2D MPR with soft (B31) reconstruction algorithm and MAR filter to reduce artifacts due to beam hardening from fixed dental prostheses.
• Coronary and sagittal 2D MPR with soft (B31) reconstruction algorithm with layer thickness of 2.95 mm and 0.49 mm respectively.
• Axial, coronal and sagittal 2D MPR with both soft and hard reconstruction algorithms, with layer thickness of 1.25 mm and FOV dedicated to the facial mass. The MAR filter was applied to reduce artifacts 3D VR of both the cranial vault in its entirety and only the bony tissue of the facial mass.

To these reconstructions, which we can define as "standard," others are added based on the specific dynamics of the case under investigation.

For example, a question that led to the post-mortem investigation with CT technique was the need to identify any internal hemorrhages in the brain tissue that could represent the cause of death. In fact, the body presented signs on the face attributable to injuries of an unidentified nature and for this reason, specific reconstructions for the head district were added.

Specifically:

• Axial and coronal 2D MPR with soft (B31) and hard (B60) reconstruction algorithms with layer thickness of 0.3 mm and increment of 0.312 mm.
3D SR: With representation of the external state of the skin to identify any severe lesions due to trauma.
3D VR in thin-slice 0.3mm slicer: This particular reconstruction technique allows starting from the model of a volume under examination and scrolling through the slices as if a 2D MPR reconstruction were displayed. In our case, three 3D VR reconstructions were performed in the slicer, one for each plane [9].

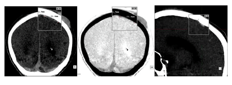
Thanks to these reconstructions (Figure 1), it was possible to identify a subdural hemorrhage of approximately 1.9 mm × 21.4 mm, which, due to its proximity to the bony tissue of the cranial vault, would not have been visible otherwise.

XXXXXXXX

Figure 1. (Left) Reconstruction on the coronal plane of the brain with magnifying glass on the identified lesion. (Center) Reconstruction on the coronal plane of the brain with magnifying glass and color inversion to better visualize the hemorrhage. (Right) Reconstruction on the sagittal plane of the brain and the identified hemorrhage.

The presence of the same was then confirmed during the actual autopsy where it was possible to ascertain (Figure 2) how the reduced thickness actually made visualization difficult in traditional reconstructions.

XXXXXXXX

Figure 2. (Left) Brain under examination in its entirety during the autopsy, a small hematoma is already visible in the right hemisphere. (Center) The same brain was cut along the coronal axis to investigate any other unknown hemorrhages. Here, the reduced thickness of the subdural hematoma can be observed. (Right) Hemorrhage and brain visualized from another perspective.

Correctly performed reconstructions are not only useful for investigating the presence or absence of evidence that may define the cause of death of an individual. In many situations, they can be crucial in defining the severity and level of causation in the death of already known or visible injuries with the initial acquired images.

In a specific case that occurred at our facility, a TSRM was assigned the role of a defense consultant following a criminal incident. Based on the criminal charge against the defendant, a defense line was constructed by the defense attorney with the assistance of the forensic pathologist. The pathologist requested the support of a TSRM for the review of post-mortem CT images and the production of new 3D images. Following authorization from the company to undertake extracurricular justice-related assignments, 3D VR images (Figures 3 and 4) and 3D SR images (Figure 5) of the head were reconstructed from CT images produced elsewhere. Images were reconstructed for both bone tissue visualization and skin in various projections and sections to highlight the lesions of interest. Measurements of lesion dimensions and Hounsfield Units (HU) were then made on these images.

The generated result was subsequently compared to the defense thesis. Finally, the produced images served to delineate the degrees of responsibility of the defendants by differentiating non-lethal traumas from those potentially causing death [10].

XXXXXXXX

Figure 3. (Left) 3D VR reconstruction of the cranial vault. (Center) 3D VR reconstruction of the cranial vault from another perspective. (Right) 3D VR reconstruction of the cranial vault with a lateral view.

XXXXXXXX

Figure 4. (Left) 3D slicer VR reconstruction of the cranial vault with a bottom view. (Center) 3D slicer VR reconstruction of the cranial vault from another perspective. (Right) 3D slicer VR reconstruction of the cranial vault with a lateral view.

XXXXXXXX

Figure 5. 3D SR reconstruction of the head district with a lateral view of a model of the skin surface of the head of the body under examination.

From the cases presented, the importance of the training of the TSRM figure in forensic radiology is highlighted. Indeed, it is crucial that the images are reconstructed with the appropriate level of care and attention to detail as they can be decisive in defining the causes of death of a person and consequently influence the outcome of a trial.

Furthermore, the request for PMCT in support of traditional autopsy is constantly increasing, especially in cases of death with unclear dynamics. Therefore, there is an emerging need to have more prepared TSRMs capable of providing technical expertise.

Fused CT: Another fundamental aspect is the curiosity that must be the driving force behind continuous improvement. Following this philosophy, in the past year, we have followed the suggestions contained in the research of Kobayashi et al. to try to obtain Fused CT images with a 64-slice scanner.

As discussed in the section on acquisition techniques, scans were therefore performed at different energies and then the different datasets were added using the "add/sub" function available on GE consoles. As predicted in Kobayashi's work, the result was an increase in signal with a consequent improvement in spatial resolution.

These characteristics were obtained by reproposing the procedure on bodies of different ages: Both adults and children.

Let's verify the statements in the specific case of a virtuopsy performed on the body of a pediatric victim not yet in adolescence.

We therefore propose three sets of images where the same image is compared but extracted from three different datasets: An acquisition at 80 KV, an acquisition at 120 KV and a reconstruction using the fused CT technique of the two previous ones.

Analyzing Figure 6, which examines the mediastinal structures, it is noted that with scans at 80 KV, decent information about the anatomy of the district is obtained; Aorta, cardiac chambers, etc., are easily recognizable. However, the noise is significant and significantly affects the spatial resolution; the boundaries of the various anatomical structures can be inferred but cannot be clearly delineated.

At 120 KV, there is an increase in spatial resolution also thanks to the reduction of artifacts. Unfortunately, the image obtained is flatter than the previous one because the increase in kilovoltage results in a reduction in contrast resolution.

With fused CT, on the other hand, a seemingly flatter image is obtained compared to that obtained at 80 KV, but with a noticeable reduction in noise and the contrast resolution obtained is better than the acquisitions at 120 KV thanks to a significant increase in signal.

In the case of the mediastinum, the structure that benefits most from this reconstruction is the aorta: It is noted, in fact, how in the image on the right, the definition and visualization of the vessel wall and lumen are clearer compared to the other two images.

XXXXXXXX

Figure 6. Comparison of mediastinal images with fused CT and acquisitions at different energies: respectively 80 KV (left), 120 KV (center) and fused CT (right).

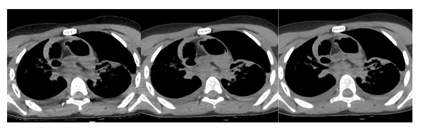
In Figure 7, it can be observed how the discussion can also be extended to other body districts. Indeed, there is a significant iconographic improvement with fused CT even in the pelvis. In particular, the margins of the bladder are clearer with good contrast between the contents and surrounding structures of different densities.

XXXXXXXX

Figure 7. Comparison of pelvis images reconstructed with fused CT and acquisitions at different energies: respectively 80 KV (left), 120 KV (center) and fused CT (right).

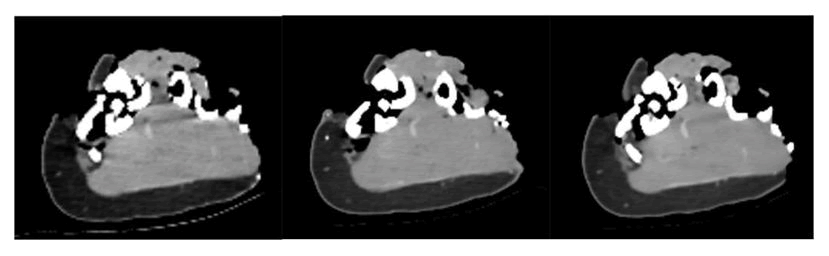
In Figure 8, we move to the lower limbs. In this case, there are metallic foreign bodies that increase the level of artifacts in the image. With the acquisition at 80 KV, the artifacts are widespread and may affect the correct identification and numbering of the number of lesions and/or fragments. With the scan at 120 KV, there is an improvement in image quality with the reduction of artifacts but a consequent flattening of the image. Once again, fused CT represents the best compromise to have all the relevant elements for the case in a single image.

XXXXXXXX

Figure 8. Comparison of images of the left leg reconstructed with fused CT and acquisitions at different energies: Respectively 80 KV (on the left), 120 KV (in the center) and fused CT (on the right).

What we have observed for pediatric virtuopsy is also valid for adults.

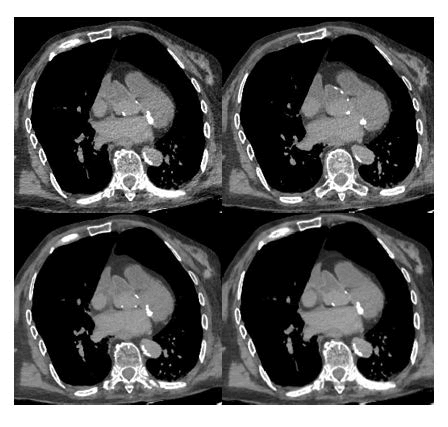
Take, for example, Figure 9, where the same image from four different acquisition sets is compared. In this case, three CT scans of the chest were performed on an 82-year-old deceased individual. The scanning parameters were kept the same for all three packages, except for the different kilovoltage values: 80 KV, 100 KV and 120 KV. Finally, a fused CT reconstruction was performed by summing the raw data from all the acquisitions.

As observed previously, there is a decrease in the absolute value of noise with increasing KV values, resulting in improved spatial resolution and clarity in identifying the boundaries of various structures. However, visually, there is a perceived flattening due to the decrease in contrast resolution.

Focusing on the origin of the ascending aorta, we can see how the issues identified with the other datasets are mitigated with the fusion CT technique: The vessel profile becomes sharp and well-defined, the contrast between the vessel lumen and surrounding tissues is enhanced and the noise is drastically reduced.

XXXXXXXX

Figure 9. Comparison of images of the mediastinum with fusion CT and acquisitions at different energies: Respectively 80 KV (top left), 100 KV (top right), 120 KV (bottom left) and fusion CT reconstruction of the previous (bottom right).

Such discussion can be extended to any anatomical district.

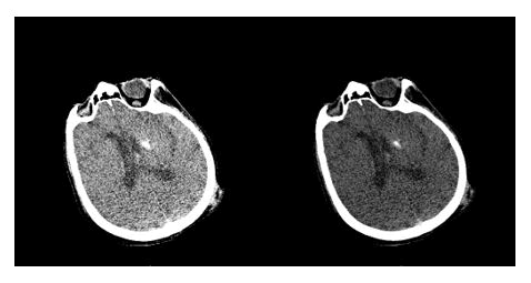
The same case can be examined in the brain (Figure 10), which was acquired with scans at 80 KV, 100 KV and 120 KV.

XXXXXXXX

Figure 10. CT scan images of the brain at 80 KV with window settings for parenchyma (left) and angiography (right).

From the initial images obtained at 80 KV, the presence of a small hemorrhagic focus in the left hemisphere and a collection of blood outside the cranial vault in the left occipital region is detected. However, the amount of noise in the images is significant and could be problematic, as even adjusting the window and level does not result in significant improvement (Figure 11).

XXXXXXXX

Figure 11. CT scan images of the brain at 100 KV (top) and 120 KV (bottom) with window settings for parenchyma (left) and angiography (right).

Increasing the kilovoltage (Figure 12), the image progressively becomes sharper, both with a window setting for parenchyma and a harder one that allows us to highlight the blood collections. The margins of the lesions thus become clearer and more defined.

XXXXXXXX

Figure 12. CT reconstruction images of the brain with fusion CT technique with window settings for parenchyma (left) and angiography (right).

In this case, with fusion CT reconstructions, it was not possible to completely reduce the noise, which is more evident than in the images from the 120 KV scans. However, an improvement in spatial resolution compared to the latter is achieved, allowing for a balanced compromise to conduct a forensic investigation as faithfully as possible to the reconstruction of the events. What has been highlighted in this case becomes even more relevant in situations where a significant amount of time has passed since death or the body has not been adequately preserved. In fact, over time, an increase in the amount of brain edema is observed, making it more difficult to differentiate between gray and white matter and to identify any microhemorrhagic foci. In these contexts, it becomes crucial to reduce noise without compromising image resolution and reconstructions using fusion CT technique can prove valuable for this purpose.

Role of the radiologist in PMCT

The introduction of computerized tomography by Hounsfield and Cormack in the early 1970’s proved to be a breakthrough for forensic pathologists as well. In this field, the first CT scan was conducted as early as 1977 in the case of a victim of firearm injury with a bullet in the head. Following numerous studies, the role of virtual autopsy has been confirmed as a reliable tool for forensic sciences.

A radiologist interpreting a post-mortem CT must deal with various challenges in image analysis: Post-mortem imaging clearly differs from clinical images. It is not possible to administer venous or oral contrast, bodies are often not positioned optimally due to rigor mortis or anatomy, the shape of the body can change due to the absence of blood pressure and the presence of gas due to the decomposition process can lead to incorrect interpretations of radiological images.

Furthermore, the terminology used in the forensic world differs from the clinical world and while the radiologist focuses more on the effects of trauma, the pathologist pays more attention to how the injuries occurred. Therefore, joint interpretation between radiologist and pathologist is mandatory for a correct understanding of a postmortem CT.

A virtopsy requires a multidisciplinary approach involving forensic medicine, pathology, biomechanics and radiology. Close collaboration between forensic physicians and radiologists is essential; Both must be adequately trained in forensic radiology, not only for detecting lesions in the body but also for identifying appropriate indications for procedures and correct protocols.

The forensic physician informs the radiologist of the information gathered from an initial external examination of the body. The radiologist and radiology technician then perform a complete body scan and the images are evaluated by the radiologist on a workstation with tools for 3D reconstructions. The results are communicated to the forensic physician.

If possible, both the radiologist and the forensic specialist assess the need for additional diagnostic techniques (post-mortem CT angiography, CT-guided biopsy). Only afterward is a traditional autopsy performed, after which the forensic specialist and radiologist discuss the results and come to common conclusions.

The radiological report is then the sum of the radiologist's findings on the patient, the most important radiological result and contains all interpretations of the case; it cannot be delegated to other medical or technical figures, even if they involve post-mortem CT scans.

Conclusions

Post-mortem CT is a technique used in forensic medicine that can be relevant for investigations. It thus becomes a fundamental tool in the legal process and, as such, must be used with appropriate care. Starting from the premise that multi disciplinarity is the basis of every evaluation, the radiology technician plays the executive role and must be able to respond to the needs of both the radiologist and the forensic physician required by the specific case. However, CT methodology provides a significant range of options both in acquisition and reconstruction phases, each with its specific function. In-depth knowledge in the field is therefore essential to perform PMCT effectively. Furthermore, the increasing demand for PMCT in support of traditional autopsy defines the need for specific training of the radiology technician in the forensic field so that they can act with the utmost competence possible.

References

Author Info

Matteo Fantin*
 
Department of Radiology, University of Pisa, Pisa, Italy
 

Received: 25-Jul-2024, Manuscript No. jfp-24-33328; Editor assigned: 30-Jul-2024, Pre QC No. jfp-24-33328 (PQ); Reviewed: 12-Aug-2024, QC No. jfp-24-33328; Revised: 12-Jan-2025, Manuscript No. jfp-24-33328 (R); Published: 20-Jan-2025, DOI: 10.35248/2684-1312.25.10(1).356

Copyright: © 2025 Fantin M. This is an open-access article distributed under the terms of the Creative Commons Attribution License, which permits unrestricted use, distribution and reproduction in any medium, provided the original author and source are credited.